GE 超音波診断装置 LOGIQ P10 (ロジックP10)
幅広い診療科のニーズに応えるハイエンドレベルのコンパクト普及機です。
その進化は、「叶える」ために。
「日々の診療への願いや悩みはなんですか?」
この問いに、世界中の先生方から様々な答えが返ってきました。
中でも特に多かったのは、自信・効率・信頼に関わる3つ。
先生方のすぐそばで診療をサポートする装置として、
もっと身近で、もっと信頼を生み出せる1台へと進化しなければ…。
その決意のもと、エンジニアの技術を結集し、先生方の願いを一つひとつ確かめながら、
ハイエンドレベルまで注ぎ込みました。

診断スピードに直結する「高画質」
不安を抱える患者さんが、より早く安心できるように。
それを叶えるのは、迷うことなく自信を持って見極められるワンランク上の高画質。
上位機種に注がれた技術を随所に活かした1台です。
Probe Technology
広帯域かつ高感度のXDclear技術はGE独自の上位機種に搭載の次世代プローブです。
各診療科で活用できる幅広いプローブラインナップをご用意しています。


Image Optimization
LOGIQ E10からの画像チューニング。
新しいSpeckle Noise Reduction(SRI)が全プローブに適応。
スペックルを忠実に表現し、日本の先生方のお好みに合わせた設定が可能です。
Bezel-less Monitor
高視野角と鮮やかな発色が特徴の23.8インチ大画面・ベゼルレスモニターを搭載。
明るい場所でも映り込みを抑え、つややかで深みのある画像をご覧いただけます。


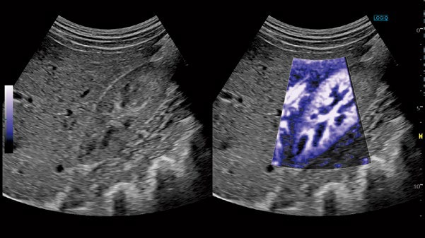
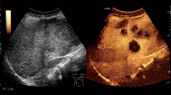
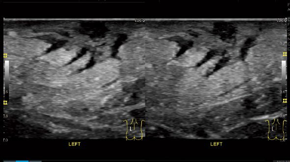
B-Flow
血流信号を増幅するGE独自の技術により微細な血球信号を画像化。
背景のBモードと重ね合わせる「Hybrid」、2画面の「Dual」にも対応し、高精細な血流表示と形態情報の正確な把握を同時に可能とします。
HDC (High Definition Color)
高いフレームレートにより組織のフラッシュアーチファクトを低減し、超低流速の血流であっても鮮明な表示を可能としました。
ROI内のBモード画像上に、 高精細フローイメージを重ねて表示できます。

1分1秒の価値を引き出す「操作性」
患者さんを待たせることなく、貴重な1分1秒を大切にしたい。
その思いを叶えるために、必要なモードや機能にムダなく、即座にアクセスできるコンソールと効率化ツールをご用意しました。
Keyless Console
操作パネル上での手の動きを最小限に抑える盤面20cmの短距離設計。
初めて触れる方でも直観的に操作できるよう、ボタンやキーを厳選し、
使いやすくレイアウトしました。
User Key
各診療科にあわせて、必要な機能を任意のキーに割り振り最適にカスタマイズできます。ボタンひとつで、簡単・スピーディに必要な検査へとアクセスできます。


My Page
よく使う計測、コメント、ボディパターンを、1画面に配置可能です。
ひと目でアクセスし、スピーディに検査を行うことができます。
My Preset
お好みのプリセットのみをカスタマイズして表示。
プローブごとに表示させるプリセットを選択し、自由にレイアウトすることも可能です。


Auto IMT
自動で簡単にIMTを計測可能。
IMT-C10の計測もサポートし、検査の効率化に貢献します。
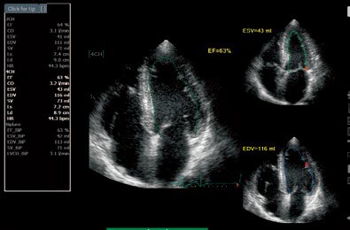
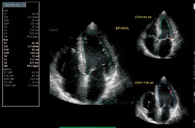
Auto EF
心内膜面を自動トレースし、駆出率(EF)や
1回拍出量(SV)を算出できます。


Auto Doppler Assist
あらかじめ検査手順をプログラムすることで、半自動的に検査をナビゲート。
通常に比べキー操作が圧倒的に少なく、検査時間を大幅に短縮できます。
Scan Assistant
あらかじめ検査手順をプログラムすることで、
半自動的に検査をナビゲート。
通常に比べキー操作が圧倒的に少なく、検査時間を
大幅に短縮できます。

各診療科のニーズに応える「専門機能」
自信あふれる診療で、患者さんとの信頼関係をもっと深く。
その願いを叶えるために、高い専門性に応える計測・解析機能をご用意。
実用的な使いやすさで、信頼性あふれる診断・治療・フォローをサポートします。
Shear Wave Elastography
シングルモードとマルチモードによる簡便な操作性を実現。
Quality Mapに基づいて精度の高い領域で計測でき、
様々な臓器に対し、組織の硬度を計測可能です。


Strain Elastography
歪みの程度をカラー表示。
クオリティを示すグラフとバーで高い再現性を担保できます。
Anatomical M-Mode
様々な角度でMモードを生成。条件の悪いビューに
ピンポイントであわせることが可能です。
検査後、Bモード保存動画からのMモード生成も可能です。


AFI
心尖部画像を基に心筋のスペックルをトラッキング。
局所心筋壁運動の程度とタイミングを簡単に評価できます。
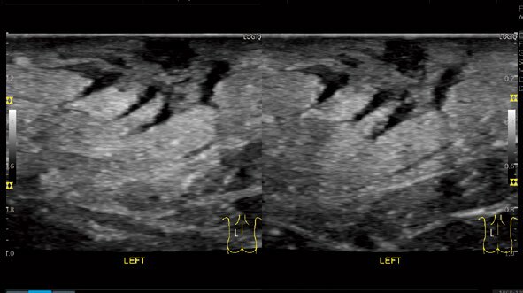
LOGIQ View
プローブを任意で動かすことで観察表示範囲を
広げる機能です。対象の広い部位、乳腺や
甲状腺全体、 四肢での観察に役に立ちます。


Contrast
独自のコード技術による高い深部感度と空間分解能。
RAW Data保存で、検査後でも染影効果や欠損像の確認まで繰り返し評価可能です。
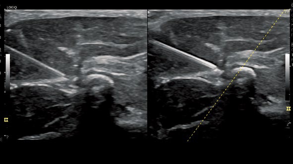
B-Steer+
穿刺針を強調し、クリアに針先を描出することで、
安全で正確な穿刺をサポートします。


Compare Assistant
過去画像をRAW Dataで保存してあれば、
スキャン条件を一致させて検査中の画像と比較可能です。
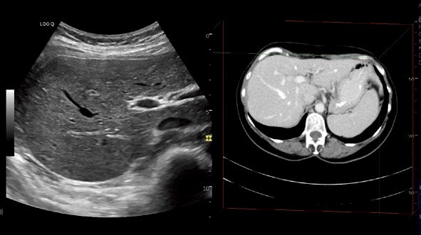
Vnav Import
他モダリティのVolume Dataを読み込み可能です。
病変部の客観的な把握をサポートします。


Light & Compact
院内を軽やかに駆けめぐる「機動力」。
スペースの限られた診療室や病棟はもちろん、必要に応じて救急や手術室など、様々なシーンで使いこなせるよう、軽量&コンパクトな設計を追求しました。


